REBEAUTY К-Бьюти

Клиник хайх
Нэвтрэх Бүртгүүлэх
  • Клиник
    Ангилал
    • Бүгдийг харах
    • Гоо сайхны мэс засал
    • Арьс судлал
    • Нүдний эмнэлэг
    • Шүдний эмнэлэг
    Алдартай эмчилгээ
    • Нүдний мэс засал
    • Хамрын мэс засал
    • Лифтинг
    • Хөхний мэс засал
    • Өөх соруулах
  • Гоо сайхны мэс засал
  • Арьс судлал
  • Нүдний эмнэлэг
  • Шүдний эмнэлэг
  • Сэтгэгдэл REAL
  • Өмнө/Дараа
  • Үйл явдал HOT
  • YouTube
  • Сэтгүүл NEW
  • AI загвар AI
REBEAUTY К-Бьюти
Нэвтрэх Шинэ бүртгэл
Клиник
Бүгд Гоо сайхны мэс засал Арьс судлал Нүдний эмнэлэг Шүдний эмнэлэг
Агуулга
Сэтгэгдэл Ө/Д Үйл явдал YouTube Сэтгүүл AI
Тусламж
Түгээмэл асуулт Мэдэгдэл Холбоо барих
Сошиал нэвтрэлт
  1. ホーム
  2. ビフォーアフター
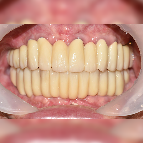
  3. Тохиолдол.56 70-аад насны Чон*жу 2018-04-05 / 2018-11-08
Нэг өдрийн шүдний эмнэлэг
전악/전체 / 뼈이식|수면|고혈압|당뇨

Тохиолдол.56 70-аад насны Чон*жу 2018-04-05 / 2018-11-08

2026.02.15 | 20
Before Before
After After
クリニック情報
Нэг өдрийн шүдний эмнэлэгの詳細を見る
ビフォーアフター一覧に戻る
REBEAUTY К-Бьюти
  • Компани: Бьюти Эгэйн ХХК
  • Бүртгэлийн дугаар: 706-88-03573
  • Хаяг: Солонгос Улс, Сөүл хот, Гуро дүүрэг, Дижиталло 34-р гудамж 55, Коолон Сайенс Вэлли 2, B201-161-7 тоот (08378)
  • Утас: +82-10-1234-5678
  • И-мэйл: info@rebeauty.jp
  • Ажлын цаг: Ажлын өдрүүдэд 09:00 - 18:00 (Солонгосын цагаар)
Хэрэглэгчийн үйлчилгээ
  • Мэдэгдэл
  • Түгээмэл асуулт
  • Холбоо барих
  • Үйлчилгээний нөхцөл
  • Нууцлалын бодлого
Дагах
Мэдээллийн товхимол

K-Beauty мэдээ авах.

© 2026 REBEAUTY К-Бьюти. All rights reserved.

Монгол хэлээр Найдвартай захиалга Шилдэг клиник
Одоо үзэж байгаа:
Нүүр Хайлт Дуртай Мессеж Миний
Түгээмэл
Мэс засал Арьс судлал Шүдний Ботокс Филлер