REBEAUTY K-Beauty

Клиник хайх
Нэвтрэх Бүртгүүлэх
  • Клиник
    Ангилал
    • Бүгдийг харах
    • Гоо сайхны мэс засал
    • Арьс судлал
    • Нүдний эмнэлэг
    • Шүдний эмнэлэг
    Алдартай эмчилгээ
    • Хамрын мэс засал
    • Нүдний мэс засал
    • Өөх соруулах
    • Хөхний мэс засал
    • Нүүрний контур
  • Гоо сайхны мэс засал
  • Арьс судлал
  • Нүдний эмнэлэг
  • Шүдний эмнэлэг
  • Сэтгэгдэл REAL
  • Өмнө/Дараа
  • YouTube
  • Сэтгүүл NEW
  • Үйл явдал HOT
  • AI загвар AI
REBEAUTY K-Beauty
Нэвтрэх Шинэ бүртгэл
Виртуал симуляци
Гоо сайхны туршилт
Клиник
Бүгд Гоо сайхны мэс засал Арьс судлал Нүдний эмнэлэг Шүдний эмнэлэг
Агуулга
Сэтгэгдэл Ө/Д YouTube Сэтгүүл Үйл явдал
Тусламж
Түгээмэл асуулт Мэдэгдэл Холбоо барих
Сошиал нэвтрэлт
  1. Нүүр
  2. Өмнө/Дараа
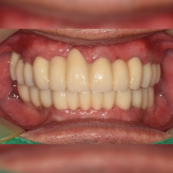
  3. Кейс.58 50-аад насны Жо*гаг 2020-02-13 / 2020-09-16
Oneday Шүдний эмнэлэг
Бүтэн эрүү / Яс шилжүүлэн суулгах | Унтуулгатай

Кейс.58 50-аад насны Жо*гаг 2020-02-13 / 2020-09-16

2026.02.15 | 105
After After
Before Before
Drag to compare
Before Before
After After
Before Before
After After
Клиникийн мэдээлэл
Oneday Шүдний эмнэлэг Дэлгэрэнгүй харах
Жагсаалт руу буцах
REBEAUTY K-Beauty
  • Компани: Бьюти Эгэйн ХХК
  • Бүртгэлийн дугаар: 706-88-03573
  • Хаяг: Солонгос Улс, Сөүл хот, Гуро дүүрэг, Дижиталло 34-р гудамж 55, Коолон Сайенс Вэлли 2, B201-161-7 тоот (08378)
  • Утас: +82-10-7213-3785
  • И-мэйл: cs@rebeauty.co.kr
  • Ажлын цаг: Ажлын өдрүүдэд 09:00 - 18:00 (Солонгосын цагаар)
Хэрэглэгчийн үйлчилгээ
  • Мэдэгдэл
  • Түгээмэл асуулт
  • Тусламж
  • Холбоо барих
  • Үйлчилгээний нөхцөл
  • Нууцлалын бодлого
Дагах
Мэдээллийн товхимол

K-Beauty мэдээ авах.

© 2026 REBEAUTY K-Beauty. All rights reserved.

Монгол хэлээр Найдвартай захиалга Шилдэг клиник
Одоо үзэж байгаа:
Нүүр Хайлт Гоо сайхны туршилт Дуртай Мессеж Миний
REBEAUTY Монгол салбар Bayanzurkh District, 26th khoroo, Sakura Tower 606, Ulaanbaatar, Mongolia 8904-8282 / 8904-2580 / 8904-0580 🇰🇷 070-8098-7323
Түгээмэл
Мэс засал Арьс судлал Шүдний Ботокс Филлер