★★★★★ 5.0

Мэс заслын өмнө нүд маань нойрмог, ширүүн харагддаг байсан болохоор давхраа хийлгэхээр шийдээд зуны амралтаараа мэс засал хийлгэсэн!

| | 139
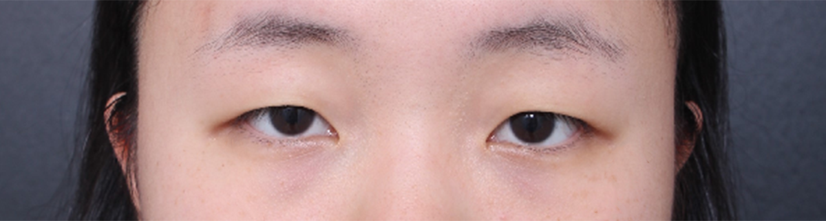
Хагалгааны өмнөх нүд маань нойрмог бөгөөд ширүүн харагддаг байсан болохоор давхраа хийлгэхээр шийдэж, зуны амралтаараа хагалгаанд орсон!Би Ганнам Вэри Гүд гоо сайхны мэс заслын эмнэлэгт 7 сарын 19-нд Им Ён Мин захирлаар хагалгаа хийлгэсэн бөгөөд,анхны давхрааны хагалгаа байсан тул зүсэлтгүй төрөлхийн мэт наалдуулах аргаар, ин-аут хэлбэрээр хийлгэсэн!Хоёр нүдний хэмжээ өөр байснаас болоод шугам нь өөр гарч байсан тул нүдний урд өнцөг нээх хагалгааг ч бас хамт хийсэн!Хагалгааны өмнө юу ч төлөвлөөгүй очсон ч, хамтдаа шугамаа гаргаж үзээд хагалгааны арга болон хэрхэн хийхээ шийдсэн :)Зөвлөгөөг ч маш найрсаг өгч, сонирхсон зүйлсээ асуухад сайн тайлбарлаж өгсөнд маш их баярлалаа.Хагалгааны дараа нүдэндээ жин тавих багц өгсөн нь гэртээ хэрэглэхэд маш хэрэг болсон~!Миний хаван ч хурдан буусан бөгөөд эргэн тойрныхон маань давхраагаа гоё хийлгэж гэж их хэлж байгаа ㅎㅎ Би ч бас зуун хувь сэтгэл хангалуун байна. -Манай эмнэлэгт хагалгаа хийлгэсэн Пүшёнпашёнпишён хэрэглэгчийн Ганнам Онни дээр шууд оруулсан сэтгэгдэл байна-