[Хамрын] Мянгмянг - Хамар
< Мэс заслаас өмнө >
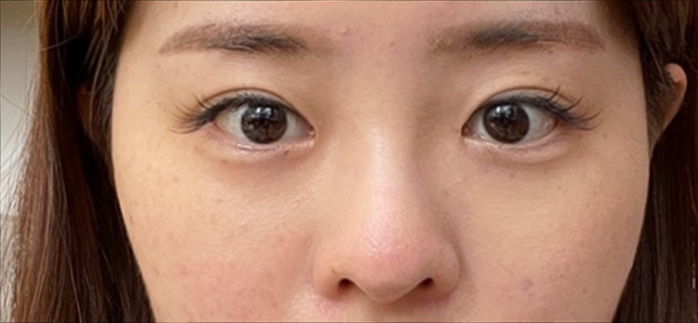
< Мэс заслын дараа >
Хамар бол царайны төв хэсэг учраас хүний нийт төрх байдлыг өөрчлөхөд маш чухал нөлөөтэй юм шиг санагдсан шүү.
Зөвхөн хамар гэлтгүй бусад мэс засал бас хийлгэсэн, мөн арьсаа маш сайн арчилж байгаа ч хийлгэсэн мэс заслуудаас хамар хамгийн их үр дүнгээ өгсөн юм шиг санагдаж байна.
Учир нь миний хамар маш богинохон байсан шүү дээ ㅠ
Шулуун хамар хийлгэхийг хүсэж, шулуун хамртай гоё одуудын зургийг хадгалж аваад зөвлөгөө авахдаа үзүүлж, шулуун хамар хийлгэхийг үнэхээр хүсэж байсан.
Гэтэл хамар маань богино, намхан учраас хүссэн хэлбэрээ гаргахын тулд хавирганы мөгөөрс суулгах хэрэгтэй болов уу гэж бодож байсан. Аз болоход хамрын угт силикон, хамрын үзүүрт хамрын таславчийн мөгөөрс суулгаж одоогийн хэлбэрээ гаргасан даа ㅎㅎ
Яагаад эрт хамар хийлгэж байгаагүй юм бол гэж бодож маш их сэтгэл хангалуун байгаа ~
Мэс засал хийлгэсний дараа уулзсан найзууд чинь хэн бэ гээд байнга гайхаад байгаа юм шиг санагдсан!
Үнэхээр хамарны мэс засал хийлгэсний дараа хэн бэ гэдэг асуултыг сонссон шүү дээ;; кк
Маш их сэтгэл хангалуун байна! Санаа зовсон хэрэггүй юм шиг шулуун хэлбэр нь ч бас маш гоё~
Мэс заслаас өмнө хамрын хажуугийн хэлбэр маш гүдгэр, тийм ч гоё байгаагүй.
Энэ нь миний хамгийн том цочрол байсан, мөн том хамар биш ч гэсэн жижигхэн хамартай харьцуулахад хамрын нүх арай том юм шиг санагдсан.
Тиймээс үүнийг хүртэл хэлсэн. Хавирганы мөгөөрс суулгахыг хүсээгүй ч эмч өөр зүйлээр хийж болно гэж хэлсэн, зөвлөгөөг маш нарийн хийсэн учраас илүү итгэж хийлгэсэн.
Үнэнийг хэлэхэд богино, жижигхэн хамар мэс засал хийхэд хэцүү, хийсэн ч гэсэн өндөр болгох эсвэл хүссэн хэлбэр гарах магадлал бага гэж сонссон.
Мөнгө бага зэрэг илүү өгөөд хийх гэж байгаа юм чинь гоё хийлгэх нь дээр гэж бодсон.
Нана эмнэлэг бусад эмнэлэгтэй харьцуулахад үнэ хямд биш ч гэсэн тэр хэмжээгээрээ ур чадвар сайтай, гоё хийдэг юм шиг санагдсан ㅠㅠㅠ ♥
Эмнэлгийн барилга ч гэсэн цэвэрхэн, бүгд л эелдэг, мэс засал хийлгэсний дараа эмнэлэгт итгэх итгэл улам нэмэгдсэн.
< Мэс заслын дараа >
Хамар бол царайны төв хэсэг учраас хүний нийт төрх байдлыг өөрчлөхөд маш чухал нөлөөтэй юм шиг санагдсан шүү.
Зөвхөн хамар гэлтгүй бусад мэс засал бас хийлгэсэн, мөн арьсаа маш сайн арчилж байгаа ч хийлгэсэн мэс заслуудаас хамар хамгийн их үр дүнгээ өгсөн юм шиг санагдаж байна.
Учир нь миний хамар маш богинохон байсан шүү дээ ㅠ
Шулуун хамар хийлгэхийг хүсэж, шулуун хамртай гоё одуудын зургийг хадгалж аваад зөвлөгөө авахдаа үзүүлж, шулуун хамар хийлгэхийг үнэхээр хүсэж байсан.
Гэтэл хамар маань богино, намхан учраас хүссэн хэлбэрээ гаргахын тулд хавирганы мөгөөрс суулгах хэрэгтэй болов уу гэж бодож байсан. Аз болоход хамрын угт силикон, хамрын үзүүрт хамрын таславчийн мөгөөрс суулгаж одоогийн хэлбэрээ гаргасан даа ㅎㅎ
Яагаад эрт хамар хийлгэж байгаагүй юм бол гэж бодож маш их сэтгэл хангалуун байгаа ~
Мэс засал хийлгэсний дараа уулзсан найзууд чинь хэн бэ гээд байнга гайхаад байгаа юм шиг санагдсан!
Үнэхээр хамарны мэс засал хийлгэсний дараа хэн бэ гэдэг асуултыг сонссон шүү дээ;; кк
Маш их сэтгэл хангалуун байна! Санаа зовсон хэрэггүй юм шиг шулуун хэлбэр нь ч бас маш гоё~
Мэс заслаас өмнө хамрын хажуугийн хэлбэр маш гүдгэр, тийм ч гоё байгаагүй.
Энэ нь миний хамгийн том цочрол байсан, мөн том хамар биш ч гэсэн жижигхэн хамартай харьцуулахад хамрын нүх арай том юм шиг санагдсан.
Тиймээс үүнийг хүртэл хэлсэн. Хавирганы мөгөөрс суулгахыг хүсээгүй ч эмч өөр зүйлээр хийж болно гэж хэлсэн, зөвлөгөөг маш нарийн хийсэн учраас илүү итгэж хийлгэсэн.
Үнэнийг хэлэхэд богино, жижигхэн хамар мэс засал хийхэд хэцүү, хийсэн ч гэсэн өндөр болгох эсвэл хүссэн хэлбэр гарах магадлал бага гэж сонссон.
Мөнгө бага зэрэг илүү өгөөд хийх гэж байгаа юм чинь гоё хийлгэх нь дээр гэж бодсон.
Нана эмнэлэг бусад эмнэлэгтэй харьцуулахад үнэ хямд биш ч гэсэн тэр хэмжээгээрээ ур чадвар сайтай, гоё хийдэг юм шиг санагдсан ㅠㅠㅠ ♥
Эмнэлгийн барилга ч гэсэн цэвэрхэн, бүгд л эелдэг, мэс засал хийлгэсний дараа эмнэлэгт итгэх итгэл улам нэмэгдсэн.