[Нүд] Маймелос - Нүд, Хамар
<Дараа>
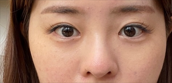
<Өмнө>
Нүд, хамар засвар хийлгэсний дараа хүмүүсийн хандлага өөрчлөгдсөн шүү ㅠㅠ
Мэс засал хийлгэхээс өмнө жаахан дугуйдуу царайтай, миний хүсдэг гоо зүйн царай биш байсан болохоор
толио харах болгондоо өөрчлөгдөхийг хүсдэг байсан ㅠㅠ
Эргэн тойронд оролцох дуртай хүмүүс их байсан болохоор юу хийсэн ч зүгээр байх болно гэж боддог хүмүүс ч бас байсан.
Стресстэй байсан болохоор мэс засал хийлгэхийг хүссэн, харин мэс засал хийлгэсний дараа эргэн тойрны хүмүүсийн хандлага их өөрчлөгдөж, царай ч бас илүү хээнцэр харагдаж байгаа болохоор сэтгэл хангалуун байна..ㅎㅎ
Сануулахад нүдний мэс засал бол дахин хийлгэж байгаа нь, харин хамар бол анхных.
Мэс засал хийлгэхээс өмнө төрөлх царай ийм болохоор тийм ч их өөрчлөгдөхгүй байх гэж бодож байсан, гэхдээ төрөлх царайг үл харгалзан
хэрэгцээг зөв тодорхойлж, чадварлаг эмнэлэгт хандаж байж сайн үр дүнд хүрдэг юм шиг байна ㅎㅎ
Байгалийн үзэсгэлэнтэй болохыг хүсч байна гэж хэлсэн чинь яг л байгалийн үзэсгэлэнтэй болгож өгсөн!
Үнэ нь арай өндөр юм шиг санагдсан ч гэсэн алдартай, сайн хийдэг газар мэс засал хийлгэж,
амжилттай болсон болохоор маш их баяртай байнаㅎㅎ
<Өмнө>
Нүд, хамар засвар хийлгэсний дараа хүмүүсийн хандлага өөрчлөгдсөн шүү ㅠㅠ
Мэс засал хийлгэхээс өмнө жаахан дугуйдуу царайтай, миний хүсдэг гоо зүйн царай биш байсан болохоор
толио харах болгондоо өөрчлөгдөхийг хүсдэг байсан ㅠㅠ
Эргэн тойронд оролцох дуртай хүмүүс их байсан болохоор юу хийсэн ч зүгээр байх болно гэж боддог хүмүүс ч бас байсан.
Стресстэй байсан болохоор мэс засал хийлгэхийг хүссэн, харин мэс засал хийлгэсний дараа эргэн тойрны хүмүүсийн хандлага их өөрчлөгдөж, царай ч бас илүү хээнцэр харагдаж байгаа болохоор сэтгэл хангалуун байна..ㅎㅎ
Сануулахад нүдний мэс засал бол дахин хийлгэж байгаа нь, харин хамар бол анхных.
Мэс засал хийлгэхээс өмнө төрөлх царай ийм болохоор тийм ч их өөрчлөгдөхгүй байх гэж бодож байсан, гэхдээ төрөлх царайг үл харгалзан
хэрэгцээг зөв тодорхойлж, чадварлаг эмнэлэгт хандаж байж сайн үр дүнд хүрдэг юм шиг байна ㅎㅎ
Байгалийн үзэсгэлэнтэй болохыг хүсч байна гэж хэлсэн чинь яг л байгалийн үзэсгэлэнтэй болгож өгсөн!
Үнэ нь арай өндөр юм шиг санагдсан ч гэсэн алдартай, сайн хийдэг газар мэс засал хийлгэж,
амжилттай болсон болохоор маш их баяртай байнаㅎㅎ